Gum disease is a progressive condition with treatment that varies from a deep cleaning to the complete restoration of your natural teeth with dental implants. Dr. Cross considers your teeth and gums' long-term health before performing each procedure, providing you with the treatment that maintains healthy gum tissue to prevent damage caused by advanced gum disease and gum recession.
Read moreDental implants are the most effective way of replacing a missing tooth or missing teeth. Dental implants are made of titanium and are biocompatible. The dental implant replaces the missing root or roots of the teeth. After a short time, your general dentist will place natural and esthetic crown(s) on the dental implant(s).
Read moreExtensively trained in this procedure, Dr. Cross is the only specialist in Illinois to follow every detail of this microscope based procedure. The pinhole surgical technique is a microscope-based periodontal approach to correcting gum recession.
Read moreA warm and caring approach to evaluating each person's oral and dental needs, Dr. Cross applies a unique philosophy of utilizing a microscope to see details that are only apparent when using high powers of magnification.
Read moreRidge regeneration, or guided bone regeneration, is a treatment that allows Dr. Cross to regenerate lost, damaged, or traumatized bone to enable the placement of dental implants. Springfield patients may require ridge regeneration if they have lost a significant amount of bone in the implant site.
Read moreDr. Cross may recommend that you have a damaged or diseased tooth extracted and replaced with a dental implant. An implant creates a new, artificial root within the bone. Dr. Cross provides same-day dental implants for his patients.
Read moreMeticulousness, Dr. Cross's devotion to his patients with their individual goals and needs, allows him to provide the highest level of treatment and results. Dentists commonly use crowns, veneers, and other restorations to improve the appearance of teeth.
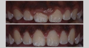
Read moreRecession is BONE LOSS. When the roots of your teeth become visible not only is the tooth losing bone but it will have an increased risk of tooth loss, developing cavities and sensitivity.
Read more



