Extensively trained in this procedure, Dr. J. David Cross is the only specialist in Illinois to follow every detail of this microscope-based procedure.
The pinhole surgical technique is a microscope-based periodontal approach to correcting gum recession. As with a traditional connective tissue graft, you may be a good candidate for the procedure if your teeth appear longer than usual or your dental roots are visible.
Most Springfield, Illinois patients will receive a traditional graft instead of the pinhole approach, since the pinhole surgical technique only offers advantages in specific cases. However, patients who meet the criteria benefit from Dr. Cross’s advanced training and precise protocol.
Dr. Cross is one of the few practitioners in Springfield and the Midwest who follow the precise protocol of the pinhole surgical technique. He has completed certification so patients can receive individualized and advanced care.
Attention to perfection is Dr. J. David Cross' approach to this important gum grafting procedure. Connective tissue grafts are used to stop bone loss, protect exposed roots, and provide natural, esthetic outcomes.

Dr. Cross has studied and been extensively trained in bone regeneration procedures and applies ridge regeneration with a gentle microsurgical approach for Springfield patients.
Ridge regeneration, also known as guided bone regeneration, is a bone grafting procedure that allows Dr. Cross to regenerate lost, damaged, or traumatized bone to support dental implant placement. Patients may require ridge regeneration if a significant amount of bone has been lost at the implant site.
Dr. Cross conducts these procedures so patients can benefit from the full advantages of dental implants. With over 30 years of experience as a periodontal specialist, patients can expect guidance, precision, and lasting, naturally esthetic outcomes.
Dr. Cross’ Approach to Ridge Regeneration
Springfield patients choose Dr. Cross for ridge regeneration and sinus lift procedures because of the depth of knowledge he brings to their care. He regularly completes significantly more than the required yearly hours of professional development, with focused training in ridge regeneration and guided bone regeneration.
Dr. Cross has studied regeneration techniques and materials directly with world-renowned experts, including private study in Budapest with Dr. Istvan Urban at the Urban Regeneration Institute. He was the first doctor in Illinois outside of Chicago to complete this advanced training.
All procedures are performed using a microsurgical approach. The surgical microscope allows Dr. Cross to work with greater precision, improving comfort, recovery time, and clinical outcomes.
Some patients may have a tooth that cannot be retained due to infection, bone loss, fracture, or decay. In these cases, tooth removal followed by dental implant replacement may be recommended.
Dental implants require a strong foundation. Dr. J. David Cross offers Springfield patients bone grafting procedures to create that foundation. During tooth extraction, Dr. Cross may perform socket preservation using bone grafts to encourage new bone formation and help prevent bone loss in adjacent teeth.
In cases where bone loss has already occurred, Dr. Cross may recommend ridge regeneration (guided bone regeneration) or a sinus lift to allow for successful implant placement.
If you are receiving dental implants and have experienced bone resorption, schedule an appointment with Dr. Cross online or by phone at (217) 793-0196.
Dr. Cross has been extensively trained in the SMILE Technique, the most successful same-day dental implant treatment available today.
The SMILE Technique—Simplified Microsurgical Implant Lifelike Esthetics—is an advanced microsurgical approach for placing dental implants in the anterior (front) of the mouth. It is recognized worldwide for superior functional and esthetic outcomes.
Dr. Cross studied under Dr. Dennis Shanelec, developer of the SMILE Technique, at the Microsurgery Training Institute. With more than 20 years of experience performing microsurgical procedures, Dr. Cross provides carefully planned, same-day implant treatment for appropriate candidates.
Patients with damaged or diseased teeth may benefit from same-day dental implants. Contact Dr. Cross’ Springfield office online or by phone at (217) 793-0196.
Dental implants are the most effective way to replace missing teeth. Made of biocompatible titanium, implants replace missing tooth roots and are restored with natural-looking crowns by your general dentist.
Dr. J. David Cross applies microsurgical principles to dental implant placement, offering minimally invasive treatment and long-term success unmatched in oral health care.
Comprehensive Oral Exam for Implant Patients
All patients receive a comprehensive examination, which may include digital radiographs and 3D imaging. This evaluation allows Dr. Cross to recommend optimal implant placement and ensure informed, comfortable decision-making.
Immediate Microsurgical Dental Implant Placement
- Fractured Tooth
- Removal of Fractured Tooth
- Immediate Implant Placement
- Placement of Crown
Dr. Cross’s meticulous approach allows him to provide crown lengthening procedures that improve smile esthetics and restorative outcomes.
Crown lengthening repositions gum tissue using microsurgical techniques to expose more natural tooth structure. This allows dentists to place crowns, veneers, and restorations that look natural and proportionate.
Overview of Crown Lengthening
Teeth may appear short due to: - Excessive gum tissue - Worn-down teeth from grinding - Chipped, fractured, or broken teeth.
Crown lengthening helps correct these concerns by revealing more tooth structure or repositioning gum tissue to support restorative treatment. If your teeth appear short, broken, or fractured, crown lengthening may be the right solution. Schedule an appointment by calling (217) 793-0196.
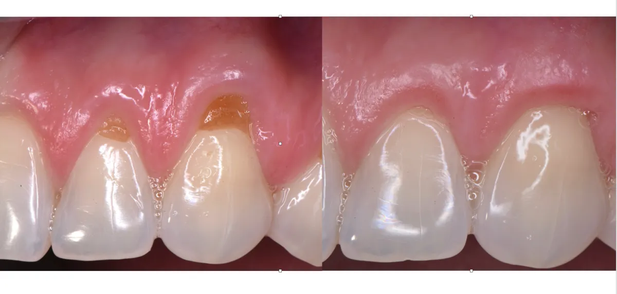
Using a surgical microscope, Dr. J. David Cross, DDS treats broken teeth, gum recession, and excess gum tissue with precision and comfort. Microsurgical periodontal disease treatment helps patients preserve their natural teeth whenever possible.
The Microsurgical Connective Tissue Graft
Gum recession is bone loss, and bone is what holds teeth in place. By using microsurgical technology, Dr. Cross provides precise and minimally invasive treatment for recession.
Dr. J. David Cross is one of the few professionals in the United States offering this advanced level of microsurgical periodontal care. Treatment stops bone loss, covers exposed roots, and delivers natural, esthetic results.
Dr. Cross uses a warm, caring approach and high-powered magnification to evaluate oral health concerns that may not be visible to the naked eye.
Patients are encouraged to schedule a periodontal exam if they experience: - Red, swollen, tender, or bleeding gums - Gum recession or increased tooth sensitivity - Missing or damaged teeth - Irregular tissue - Desire for a comprehensive oral exam.
Overview of the Periodontal Exam
The exam evaluates gum tissue, bone support, and periodontal pockets. It is comfortable, takes approximately 15–20 minutes, and includes an oral cancer screening for added peace of mind.
Dr. Cross’s training at the Microsurgical Training Institute allows him to use magnification up to 26 times greater than the naked eye, improving diagnosis and treatment planning.
Schedule a periodontal exam with Dr. Cross by contacting his Springfield office online or by phone at (217) 793-0196.
2904 Greenbriar Drive,
Springfield, Illinois 62704
Telephone: (217) 793-0196
Fax: (217) 793-5344
Periodontist serving the greater Springfield area, including:
Chicago, Decatur, Chatham, Taylorville, Quincy, Champaign, Peoria, Bloomington, Edwardsville, Lincoln, Jacksonville, Litchfield
Copyright 2026 J. David Cross. All rights reserved.